Academic Emergency Medicine
- Awake prone positioning was not associated with lower intubation rates. Caution is necessary before widespread adoption of this technique, pending results of clinical trials.
Annals of Emergency Medicine
- “These data ought not change our current practice of obtaining blood cultures before antibiotic administration. As illness severity increases, the relative importance of early antibiotic administration likely takes precedence over the potential identification of a causative organism. The take-home point for ED clinicians is that timely antibiotic administration should not be delayed because of difficulties in obtaining appropriate samples for blood cultures.”
- “Compared with CT, point-of-care ultrasonography had a sensitivity of 92% (95%confidence interval 88% to 96%), specificity of 97% (95% confidence interval 94% to 99%), positive predictive value of 94% (95%confidence interval 90% to 97%), and negative predictive value of 96% (93% to 98%) in the diagnosis of diverticulitis.”
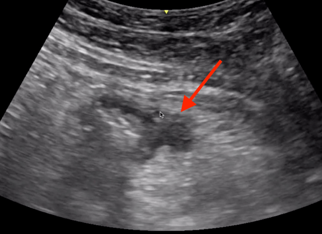
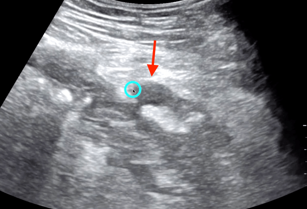
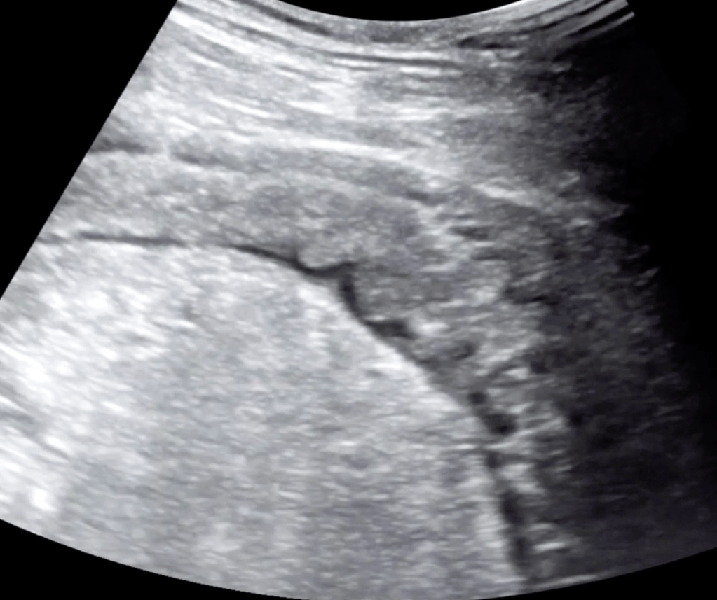
- Check out the new 5 minute Sono Diverticulitis video later in this post
- In the studies limited to emergency physicians, ocular point-of-care ultrasonography had a pooled sensitivity of 92% (95% CI 67% to 99%) and specificity of 91%(95% CI 85% to 95%).
- The authors found emergency practitioner diagnosis of other posterior chamber abnormalities, including lens dislocation, globe rupture, intraocular foreign body, and vit-reous hemorrhage, using point-of-care ultrasonography to be accu-rate, but with wide CIs.
- The safety of point-of-care ultrasonography for assessment of a ruptured globe or an intraocular foreign body through a penetrating injury has not been established, and using it is not recommended.
- The two key interventions were pharmacist review of medications and physical therapy consult.
- Compared with usual care participants (n=55), intervention participants (n=55) were half as likely to experience a subsequent ED visit (adjusted incidence rate ratio 0.47 [95% CI 0.29 to 0.74]) and one third as likely to have fall-related ED visits (adjusted incidence rate ratio 0.34 [95% CI 0.15 to 0.76]) within 6 months.
- An ED length of stay of greater than 6 hours is estimated to be associated with a 10% increase in hospital mortality.
- A primary determinant (of ICU boarding) is ineffective throughput, reflective of a limited supply of beds, inadequate staffing for the available beds, or ineffective use of beds.
- 5 models to respond to boarding, easiest is the far right Ed-Base Critical Care Consultation Model.

- In 96% of cases (335/349) in which one or more modifiable risk factors were present, they were not diagnosed. The most commonly missed risk factors were high-risk medications and visual acuity deficits.
- CDC 12 question checklist
- Visual acuity
- Orthostatics
- Beer’s Medication List
- Fall Prevention Algorithm
- Timed Up and Go test- sit in an arm chair, pt has to get up and walk 10 feet in 12 seconds.
- Test strength at shoulders, elbows, hips, knees.
- Test sensation in feet to rule out peripheral neuropathy.
Circulation
- No mortality benefit to early Cath lab for ROSC patients without STEMI
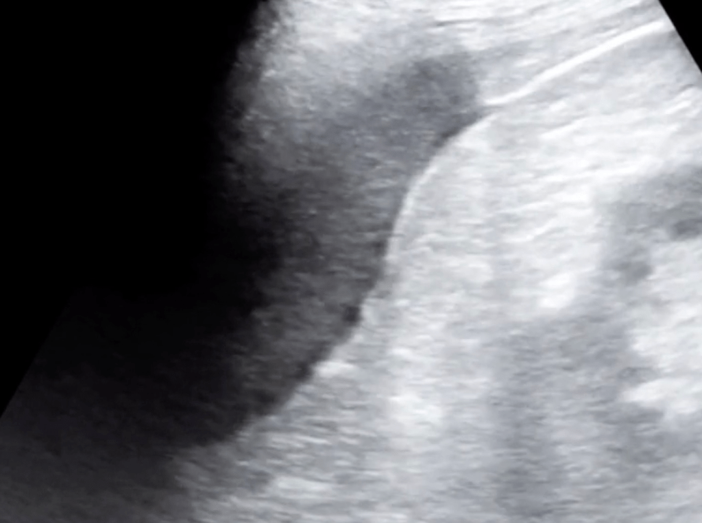
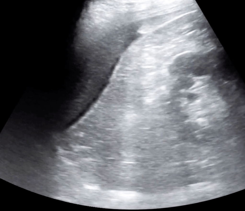
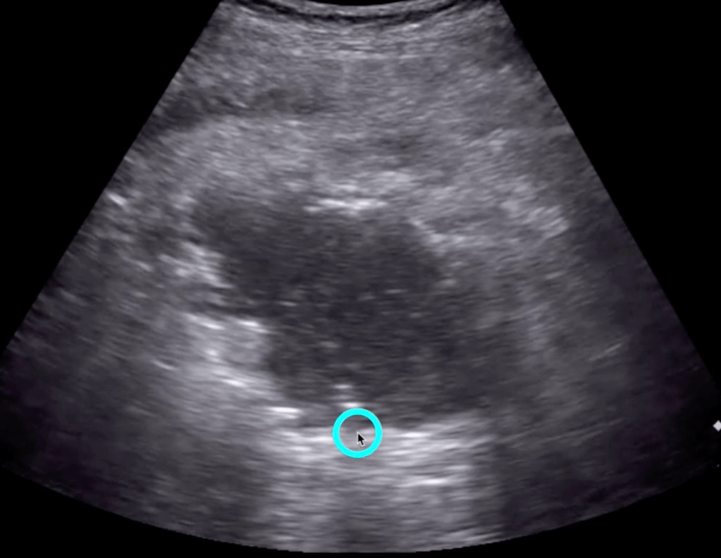
5 Minute Sono
- Large curvilinear probe
- Graded compression up and down

- Diverticula


- Bowel wall>5mm

- Prominent fluid-filled bowel loops

- Pericolic free fluid

- Increased pericolic fat (hyperechoic)

- Abscess

JAMA
- Overall, 19 studies (11 randomized; 8 nonrandomized) of 241 138 participants from 7 countries and various health care settings (hospital-based and community-based) were included.
- In this study, use of ibuprofen vs acetaminophen for the treatment of fever or pain in children younger than 2 years was associated with reduced temperature and less pain within the first 24 hours of treatment, with equivalent safety.
NEJM

Spontaneous Coronary-Artery Dissection
Pathophysiology of Inflammatory Bowel Diseases
Changes in Seizure Frequency and Antiepileptic Therapy during Pregnancy