Academic Emergency Medicine
Functional Neurological Disorder in the Emergency Department
- Evolving definition of the previously termed conversion disorder, now called functional neurological disorder (FND) in which there is loss of motor or sensory or presence of seizure activity without any evidence of structural pathology.
- Can be thought of as a software problem rather than a hardware problem
- Two useful tests are hip abductor sign (hip abduction felt on one side while and hoover’s sign

American Journal of Emergency Medicine
Lay-rescuers in drowning incidents: A scoping review
- Lay rescue highly dangerous and can result in 2 drowning deaths, recommendations are to rescue from land (e.g. pole, buoy, etc).
Anesthesia Pain Med
Annals of Emergency Medicine
- Management errors were varied and remarkable for the frequency of patients with elevated troponin levels which were not repeated, and there was no indication that the elevated value was appreciated in the health record.
- For patients with atrial fibrillation, unappreciated dual diagnoses (eg, acute heart failure, community-acquired pneumonia, exacerbation of chronic obstructive pulmonary disease), clinical severity, and missing the underlying cause contributed to diagnostic errors (eg, pulmonary embolism, community-acquired pneumonia).
- 3 cases of patients experiencing adverse drug effects related to warfarin and 3 related to direct oral anticoagulants.
- Two patients with recent-onset atrial fibrillation and elevated Congestive Heart Failure, Hypertension, Age, Diabetes, previous Stroke scores were discharged without anticoagulation and returned with severe strokes.
- Although patients discharged with syncope had fewer adverse events, the majority of events (10) were diagnostic errors, and 2 key contributing factor themes were failure to seek an underlying cause (eg, end-stage heart failure, community-acquired pneumonia, gastrointestinal bleeding) and lack of recognition of injuries related to the fall from syncope (eg, missed fractures)
- Although intravascular temperature management does not improve survival compared with surface-cooling methods in post–cardiac arrest patients, it may improve neurologic outcomes.
Adolescent Male With Severe Renal Trauma
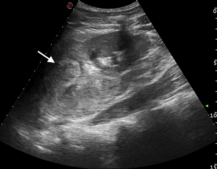
- A 15-year-old previously healthy boy was admitted for a blunt abdominal trauma owing to a cycling crash. On admission he was alert; blood pressure and pulse rate were 145/95 mm Hg and 75 beats/min, respectively. Physical examination result was remarkable for severe left-sided flank pain with guarding. No others injuries were found. His urine was like blood and laboratory tests showed a normal hemoglobin level, at 13.5 g/dL, with hematocrit level 40.9%.
- An abdominal ultrasonographic scan showed major left kidney trauma (Figure 1). A computed tomographic (CT) scan confirmed a grade IV renal laceration, according to the American Association for the Surgery of Trauma classification (Figure 2).

- IV Haldol .05mg/kg better than IV Zofran
BMJ
Treatment of opioid use disorder in primary care
- Prescription Opioid Misuse Index is 82% sensitive and 92% specific with a score >/=2.

Circulation
- Reduced hospitalization by 59% and LOS by 3.3 hours with better 1 year mortality and MI outcomes.
EMCRIT
Posterior Reversible Encephalopathy Syndrome (PRES)
PulmCrit – A history of hypothermia for cardiac arrest, 2002-2021 (RIP)
EMCrit 300 – Airway Continuous Quality Improvement and the Resus Airway Bundle
Emergency Medicine Journal
No articles this month
EMRAP
ACEP Statement on Antitussives
- Avoid any meds for cough in kids.
- Can you honey if >/=1yo.
JAMA
No articles this month
NEJM
Hypothermia versus Normothermia after Out-of-Hospital Cardiac Arrest
- In patients with coma after out-of-hospital cardiac arrest, targeted hypothermia did not lead to a lower incidence of death by 6 months than targeted normothermia.
HIV Infection Screening, Diagnosis, and Treatment
The Evolving Challenge of Infections in Cirrhosis
REBELEM
Should we Consider Endovascular Therapy for Acute Basilar Artery Occlusion?
Droperidol: Making a Comeback!!!
- Gaw CM et al. Effectiveness and Safety of Droperidol in a United States Emergency Department. AJEM 2020.
- Over 6000 cases no fatal arrhythmias or deaths.